Porcelain Veneers

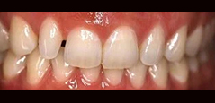
Before

Teeth with gaps and worn dental veneers.

After

Teeth with well-fitted, bright dental veneers.